تمكن فريق من أطباء قسم جراحة القلب والصدر والتخدير والمعاونين بمستشفيات جامعة الإسكندرية، يوم الثلاثاء الماضي، من إجراء جراحة دقيقة بالغة الخطورة لمصاب من قطاع غزة بطلق ناري في الرأس منذ فترة.
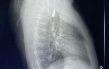
وقال الدكتور تامر عبد الله، عميد كلية الطب ورئيس مجلس إدارة المستشفيات الجامعية، أن المقذوف كان قد استقر على إثرها داخل تجويف القفص الصدري قرب الشريان الأورطي، وهو أكبر وأهم شرايين الجسم والمسؤول عن تغذية جميع الأعضاء الحيوية.

وأضاف أن الفريق الطبي، رغم دقة الحالة وتعقيدها، نجح في استخراج المقذوف بأمان بعد عملية جراحية نادرة استمرت عدة ساعات داخل المستشفى الجامعي الجديد، حيث خضع المريض بعدها للرعاية الطبية اللازمة، وحالته حاليًا مستقرة وتحت المتابعة الدقيقة من الفريق المختص.
من جانبه قال الدكتور عبد العزيز قنصوة، رئيس جامعة الإسكندرية، أن هذا الإنجاز يعكس المكانة الطبية والعلمية المتميزة لجامعة الإسكندرية، وقدرتها على التعامل مع العمليات المعقدة والحالات الدقيقة وفق أعلى معايير الجودة والرعاية الصحية.

وأعرب قنصوة عن فخره بهذا النجاح الذي يجسد الكفاءة العالية للفريق الطبي بالمستشفيات الجامعية، مؤكدًا أن الجامعة تولي اهتمامًا بالغًا بدعم القضايا الإنسانية وبتقديم الرعاية الصحية المتكاملة للأشقاء العرب، تنفيذًا لتوجيهات الدولة المصرية في مساندة المصابين من قطاع غزة وتوفير أفضل سبل العلاج لهم داخل المستشفيات الجامعية.
أكدت جامعة الإسكندرية استمرارها في توفير الدعم الطبي والعلاجي للحالات المحولة إليها، انطلاقًا من دورها الوطني والإنساني ورسالتها في خدمة المجتمع ودعم الأشقاء العرب في مختلف المواقف.