ads
ads

إنقاذ شاب من بتر قدمه بعد سقوط من ارتفاع بالمنوفية

العمليات
العمليات

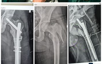
حضر إلى قسم طواريء مستشفى اليوم الواحد بمركز أشمون التابعة لمديرية الصحة بمحافظة المنوفية مريض يبلغ من العمر 28 عامًا وهو يعانى من كسر مضاعف أعلى عظمة الفخذ الأيسر إثر ادعاء السقوط من أعلى.

العمليات  العمليات

تم استقبال الحالة بسرعة وحجز المريض فورًا، ثم تحضيره للعمليات دون أي تأخير، ودخل المريض غرفة العمليات في نفس اليوم، حيث أُجريت له جراحة دقيقة (Open Reduction & Internal Fixation) وتم تثبيت الكسر باستخدام مسمار نخاعي جاما بنجاح.

غادر المريض المستشفى بعد استقرار حالته وتحسنها.

وذلك بتواجد الفريق الطبي الدكتور محمود العيسوي أخصائي جراحة العظام، والدكتور مصطفى سامح نائب جراحة العظام، والدكتور أحمد عبد العاطي استشاري التخدير، وصفاء بيومي تمريض العمليات، ومي مسعد مسؤول أشعة ال C_ARM

تحت إشراف الدكتور تامر طاحون مدير العمليات، والدكتور حنان شعير مدير المستشفى.

WhatsApp
Telegram
إقرأ أيضاً
عاجل
عاجل
الرئيس السيسي يوجه بالتوسع المدروس في مشروعات الطاقة الجديدة والمُتجددة